面相丨是命带桃花还是天生花心
发布时间:2025-03-11 15:25:05 | 来源:叶翁网

图片

陈冠希

都说现如今是「颜值即是正义」的时代,但我们在生活中却又往往会有一些似乎完全相反的发现——

有些人明明长得很不错,但却并不讨人喜欢,浑身上下都散发出一种令人讨厌的气息;而又有一些人,明明长得并不是很漂亮,却很有魅力,无论是同性还是异性都很容易喜欢上他们。

普通人不知道原因何在,而相士一眼就发现了玄机——答案很简单,原来这些人全都「命带桃花」。

「命带桃花」如何看,关键就在于一双惹人喜欢的眼睛——中华相术博大精深,不仅能够看出某人是否桃花旺盛,同时也能够帮助我们快速地鉴定此人的品性,可谓不可不知的鉴渣秘籍、防骗利器。

一、命带桃花

1)真桃花眼

图片

真桃花眼

如图所示,真桃花眼眼眼形较长,眼头有少许勾曲,眼带艳光,眼睛黑白分明而有神。真桃花眼的关键就在于「眼睛黑白分明而有神」,眼白要白,不可带粉红,眼睛要有神,不能水光泛滥。

真桃花眼非常有魅力,并且因为「眼睛黑白分明而有神」而避免了其它桃花眼的缺陷,感情方面也不至于混乱,可以说是十分难得。

明星之中,拥有真桃花眼的人少之又少,而1977年的港姐冠军朱玲玲就是其中的一位。

图片

真桃花眼-朱玲玲

2)冤枉桃花眼

这种眼睛又叫「孩子眼」,眼大眼珠也大,看起来似乎装着无数的问题,拥有这种眼睛的人往往会因其遇事每喜发问而使被问者误会对其有意思而展开追求,从而招来了不少并不需要的烂桃花。

图片

冤枉桃花眼-Angelababy

3)粉红桃花眼

这个就很好解释了,眼型仿若桃花,但是眼白却是粉红色,这种人不善于处理感情问题,一生为情感问题所累,在行眼运的时候(35-40岁),往往也会遭遇这一生中最重的一次感情。

图片

粉红桃花眼-陈冠希

4)眼带桃花纹

桃花纹是眼肚(注意,是眼肚而不是眼尾)上生出的纹路,拥有这种纹路的人往往也很有魅力,从事演艺行业也容易获得观众的喜欢。

图片

眼带桃花纹-梁朝伟

二、天生花心

1)眉弯而散

眉毛弯弯的人,喜欢幻想,而眉形散乱的人往往控制力差。

两者一综合,眉弯而散的人往往自控力极差而博爱,会喜欢上很多人。

王思聪的眉毛就是这种类型,照片上的眉毛虽然修剪了,但是眉形的散乱还是很明显的。

图片

眉弯而散-王思聪

2)劫数桃花眼

眼型秀长而水光泛滥,是为劫数桃花眼,拥有这种眼型的人比较博爱,一生容易为感情所累,且感情极不稳定,易有离婚之事。

图片

劫数桃花眼-王力宏

3)目露凶光

这种眼型的人倒不一定花心,主要问题在于薄情,而薄情往往寡义,始乱终弃、翻脸不认人是这种人容易做出的事情。

图片

目露凶光-吴镇宇

三、口不对心

1)嘴巴歪斜

嘴巴歪斜的人,说话不可信,这种人往往是说一套做一套,绝非诚信之人。

图片

嘴巴歪斜-XX丹

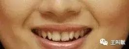
2)齿疏有缝

牙齿长得较为稀疏而且有缝,特别是门牙有缝的人,品性不佳,爱撒谎。

图片

齿疏有缝-X洁

四、情欲旺盛

1) 上下唇厚

上唇主情,下唇主欲,上唇厚的人重感情,下唇后的人重欲望。

上下唇都厚的人情欲相当旺盛,非一般人所能比。

图片

上下唇厚-钟丽缇

2) 鼻长而大

鼻子长而且大的男性,欲望也非常强盛,成龙的外号「房事龙」绝非浪得虚名。

图片

鼻长且大-成龙

最后,放一组冠希老师的图片,以飨观众。

冠希老师的眼型属于粉红桃花眼和劫数桃花眼的混合体,一生艳遇极多,但也会在这上面栽跟头。

图片

提示:您可以通过浏览器菜单选择“文件 → 打印 → 另存为 PDF”来保存本页面。